This section of the gallery displays cases in which some or all of the patient's teeth were missing. In these cases, traditional removable full or partial dentures were used to restore form and function to the patient.
Dentures Gallery Case 1
This patient had severe gum and bone problems, which required the removal of all of the upper teeth except for the two front teeth.
Dentures Gallery Case 1
This patient had severe gum and bone problems, which required the removal of all of the upper teeth except for the two front teeth.
Dentures Gallery Case 1
A removable partial denture was made that closely matched the remaining front teeth. The result a significant improvement in his appearance.
Dentures Gallery Case 1
A removable partial denture was made that closely matched the remaining front teeth. The result a significant improvement in his appearance.
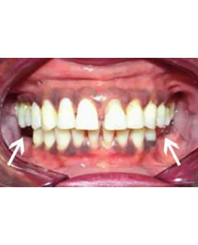
Dentures Gallery Case 2
This patient was missing the bottom molars on both sides of his mouth, as indicated by the white arrows.
Dentures Gallery Case 2
This patient was missing the bottom molars on both sides of his mouth, as indicated by the white arrows.
Dentures Gallery Case 2
A removable partial denture was made to restore lost chewing surfaces.
Dentures Gallery Case 2
A removable partial denture was made to restore lost chewing surfaces.
Dentures Gallery Case 3
This patient is missing all of his teeth. A traditional full denture is needed.
Dentures Gallery Case 3
This patient is missing all of his teeth. A traditional full denture is needed.
Dentures Gallery Case 3
Dentures are made more realistic by making them slightly less than perfect.
Dentures Gallery Case 3
Dentures are made more realistic by making them slightly less than perfect.
Dentures Gallery Case 4
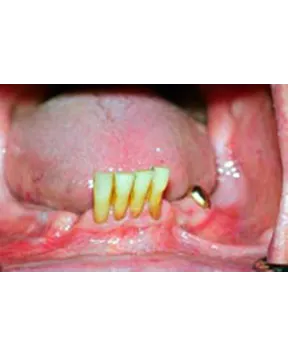
This patient lost all of her teeth with the exceptions of the front four teeth on the bottom and a portion of a tooth, which has a gold crown on top of the root (bottom right of the photo). It is important to save the root of a tooth because it helps preserve the bone, which is critical.
Dentures Gallery Case 4
This patient lost all of her teeth with the exceptions of the front four teeth on the bottom and a portion of a tooth, which has a gold crown on top of the root (bottom right of the photo). It is important to save the root of a tooth because it helps preserve the bone, which is critical.
Dentures Gallery Case 4
This patient lost all of her teeth with the exceptions of the front four teeth on the bottom and a portion of a tooth, which has a gold crown on top of the root (bottom right of the photo). It is important to save the root of a tooth because it helps preserve the bone, which is critical.
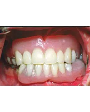
Dentures Gallery Case 4
The metal holding the partial denture in place is not visible when the patient speaks or smiles.
Dentures Gallery Case 4
The metal holding the partial denture in place is not visible when the patient speaks or smiles.
Dentures Gallery Case 5
This patient had a developmental defect that caused a malformation of the jaws as well as the teeth.
Dentures Gallery Case 5
This patient had a developmental defect that caused a malformation of the jaws as well as the teeth.
Dentures Gallery Case 5
A removable partial denture was made for both the top and bottom to replace the missing teeth and to restore the aesthetics.
Dentures Gallery Case 5
A removable partial denture was made for both the top and bottom to replace the missing teeth and to restore the aesthetics.
Dentures Gallery Case 5
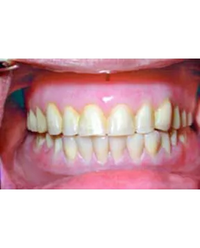
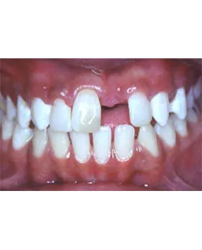
This patient lost his front tooth in a skateboarding accident. The left front tooth was badly chipped and was repaired with tooth-colored bonding, but the root on the right front tooth was split in two and could not be saved.
Dentures Gallery Case 5
This patient lost his front tooth in a skateboarding accident. The left front tooth was badly chipped and was repaired with tooth-colored bonding, but the root on the right front tooth was split in two and could not be saved.
Dentures Gallery Case 5
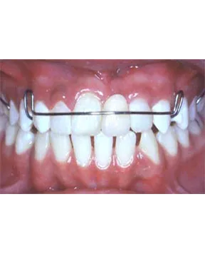
We made a temporary retainer with a tooth attached to the wire until the bone healed. After the bone healed, an implant could be placed.
Dentures Gallery Case 5
We made a temporary retainer with a tooth attached to the wire until the bone healed. After the bone healed, an implant could be placed.