Crowns are placed when the entire structure of a tooth is compromised or when missing teeth are replaced with fixed bridgework. The cases in the Crowns Gallery are examples of treatment that can be provided using porcelain crowns.
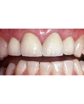
Crowns Gallery Case 1
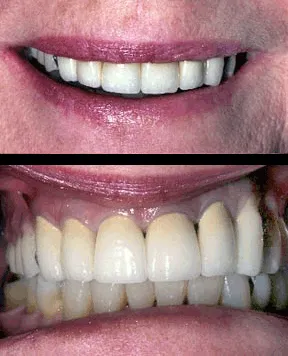
This patient had four porcelain crowns placed on her front four teeth from a previous dentist following a rollerblading accident. She was not happy with the color and she felt that they did not look very life-like. She had also chipped the tooth on the far left.
Crowns Gallery Case 1
This patient had four porcelain crowns placed on her front four teeth from a previous dentist following a rollerblading accident. She was not happy with the color and she felt that they did not look very life-like. She had also chipped the tooth on the far left.
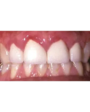
Crowns Gallery Case 1
The previous crowns were removed and after two appointments the new porcelain crowns were cemented. They now have the appearance of natural teeth and have a definite lifelike quality to them. The patient is very happy with the result.
Crowns Gallery Case 1
The previous crowns were removed and after two appointments the new porcelain crowns were cemented. They now have the appearance of natural teeth and have a definite lifelike quality to them. The patient is very happy with the result.
Crowns Gallery Case 2
Most dentists would agree that the single hardest restoration to do is a single crown on a central incisor. The upper central incisors are the two front teeth in the middle of the upper jaw. It is a difficult process because the crown must match the remaining central incisor.
Crowns Gallery Case 2
Most dentists would agree that the single hardest restoration to do is a single crown on a central incisor. The upper central incisors are the two front teeth in the middle of the upper jaw. It is a difficult process because the crown must match the remaining central incisor.
Crowns Gallery Case 2
The previous crown was removed, and after two appointments, the new porcelain crown was cemented. The new crown matches the adjacent central incisor and has the appearance of a natural tooth.
Crowns Gallery Case 2
The previous crown was removed, and after two appointments, the new porcelain crown was cemented. The new crown matches the adjacent central incisor and has the appearance of a natural tooth.
Crowns Gallery Case 3
This patient had an existing crown on a central incisor and was unhappy with the unrealistic appearance. He was similarly unhappy with the shape, color, and appearance of his other, natural teeth
Crowns Gallery Case 3
This patient had an existing crown on a central incisor and was unhappy with the unrealistic appearance. He was similarly unhappy with the shape, color, and appearance of his other, natural teeth
Crowns Gallery Case 3
The previous crown was removed. At his second appointment, the new porcelain crown and five porcelain veneers were cemented.
Crowns Gallery Case 3
The previous crown was removed. At his second appointment, the new porcelain crown and five porcelain veneers were cemented.
Crowns Gallery Case 4
This is a combination case involving both crowns and veneers. There were old porcelain crowns on the two front teeth. The patient was unhappy with the color, shape, and length.
Crowns Gallery Case 4
This is a combination case involving both crowns and veneers. There were old porcelain crowns on the two front teeth. The patient was unhappy with the color, shape, and length.
Crowns Gallery Case 4
The treatment involved the front six teeth. The old porcelain crowns on the two front teeth were replaced with new porcelain crowns. Four porcelain veneers were placed on the two teeth on either side of the front teeth. The result is natural-looking and aesthetically pleasing.
Crowns Gallery Case 4
The treatment involved the front six teeth. The old porcelain crowns on the two front teeth were replaced with new porcelain crowns. Four porcelain veneers were placed on the two teeth on either side of the front teeth. The result is natural-looking and aesthetically pleasing.
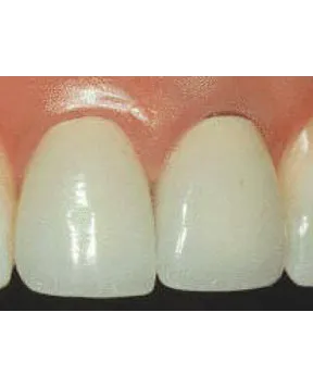
Crowns Gallery Case 5
This is an extreme close up of two porcelain crowns that were placed by a previous dentist. The patient was unhappy because the crowns were not equal in size and a black edge was visible near the gumline of the crown on the right of the photograph.
Crowns Gallery Case 5
This is an extreme close up of two porcelain crowns that were placed by a previous dentist. The patient was unhappy because the crowns were not equal in size and a black edge was visible near the gumline of the crown on the right of the photograph.
Crowns Gallery Case 5
Two new porcelain crowns were made and placed with a much better result. They look more natural and life-like than the previous crowns.
Crowns Gallery Case 5
Two new porcelain crowns were made and placed with a much better result. They look more natural and life-like than the previous crowns.
Crowns Gallery Case 6
This patient had crowns and bridges on several teeth that were decayed. This necessitated replacement of the existing work. Her wish list was to improve the aesthetics and the angulation.
Crowns Gallery Case 6
This patient had crowns and bridges on several teeth that were decayed. This necessitated replacement of the existing work. Her wish list was to improve the aesthetics and the angulation.
Crowns Gallery Case 6
The results rejuvenated the patient. In her words, "All I have to do is open my mouth and my teeth are smiling!"
Crowns Gallery Case 6
The results rejuvenated the patient. In her words, "All I have to do is open my mouth and my teeth are smiling!"
Crowns Gallery Case 7
This patient had crowns and large fillings on almost all of her top teeth. She was so unhappy with her current appearance that when asked to smile she said, "I don't have one."
Crowns Gallery Case 7
This patient had crowns and large fillings on almost all of her top teeth. She was so unhappy with her current appearance that when asked to smile she said, "I don't have one."
Crowns Gallery Case 7
Treatment involved placing ten porcelain crowns. The results are evident in the expression on her lips. The word “smile” was back in her vocabulary.
Crowns Gallery Case 7
Treatment involved placing ten porcelain crowns. The results are evident in the expression on her lips. The word “smile” was back in her vocabulary.
Crowns Gallery Case 8
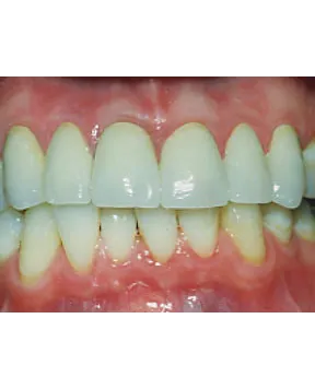
This patient had existing crowns on the front four teeth that were too white (yes, crowns can be too white!). They did not fit the teeth properly and caused the gums to swell and become red. The way in which crowns fit the teeth is as important as the way they look.
Crowns Gallery Case 8
This patient had existing crowns on the front four teeth that were too white (yes, crowns can be too white!). They did not fit the teeth properly and caused the gums to swell and become red. The way in which crowns fit the teeth is as important as the way they look.
Crowns Gallery Case 8
The old crowns were replaced with new porcelain crowns. The new crowns appear more natural and fit the teeth properly; evident by the way the porcelain meets the gums.. In cases like these, the gum tissue takes a few weeks to heal.
Crowns Gallery Case 8
The old crowns were replaced with new porcelain crowns. The new crowns appear more natural and fit the teeth properly; evident by the way the porcelain meets the gums.. In cases like these, the gum tissue takes a few weeks to heal.
Crowns Gallery Case 9
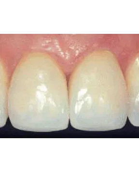
This is another close up of the front four teeth. The gum tissue is healthy but the patient wanted more natural-looking crowns to replace the old crowns, which were starting to show darkness at the gumline and appeared dull.
Crowns Gallery Case 9
This is another close up of the front four teeth. The gum tissue is healthy but the patient wanted more natural-looking crowns to replace the old crowns, which were starting to show darkness at the gumline and appeared dull.
Crowns Gallery Case 9
The four crowns were replaced with four porcelain crowns that met the patient’s desire for them to look like natural teeth.
Crowns Gallery Case 9
The four crowns were replaced with four porcelain crowns that met the patient’s desire for them to look like natural teeth.
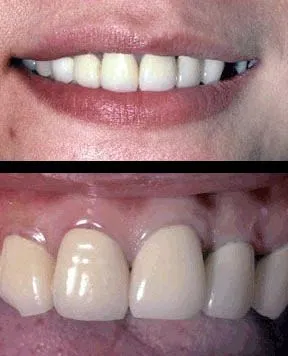
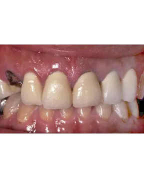
Crowns Gallery Case 10
As evident in the lower image, the patient was missing the upper back teeth on one side (left side of the photo). She was unhappy with the missing teeth and the appearance of the rest of her teeth.
Crowns Gallery Case 10
As evident in the lower image, the patient was missing the upper back teeth on one side (left side of the photo). She was unhappy with the missing teeth and the appearance of the rest of her teeth.
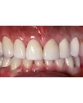
Crowns Gallery Case 10
The results were achieved with implants to replace the missing teeth and crowns and veneers to improve the aesthetics of her natural teeth.
Crowns Gallery Case 10
The results were achieved with implants to replace the missing teeth and crowns and veneers to improve the aesthetics of her natural teeth.
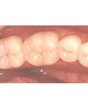
Crowns Gallery Case 11
This is an image of the last three teeth in the lower jaw. They had very old silver fillings. The fillings and the teeth were wearing out.
Crowns Gallery Case 11
This is an image of the last three teeth in the lower jaw. They had very old silver fillings. The fillings and the teeth were wearing out.
Crowns Gallery Case 11
The treatment consisted of placing porcelain crowns on the teeth. These crowns are more than just for appearance. They returned the teeth to their original height and shape; restoring function.
Crowns Gallery Case 11
The treatment consisted of placing porcelain crowns on the teeth. These crowns are more than just for appearance. They returned the teeth to their original height and shape; restoring function.
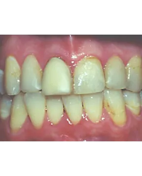
Crowns Gallery Case 12
This patient’s tooth broke off at the gumline. He also had crowns on some teeth that did not fit well and needed to be replaced.
Crowns Gallery Case 12
This patient’s tooth broke off at the gumline. He also had crowns on some teeth that did not fit well and needed to be replaced.
Crowns Gallery Case 12
The patient was very happy with the results. An implant replaced the broken tooth, the old crowns were replaced, and the bottom teeth were whitened.
Crowns Gallery Case 12
The patient was very happy with the results. An implant replaced the broken tooth, the old crowns were replaced, and the bottom teeth were whitened.